Che cos'e' la parodontologia
La parodontologia e' la branca dell'odontoiatria che si occupa della diagnosi della terapia e della prevenzione delle malattie dell'apparato di sostegno del dente e dei tessuti che ne fanno parte: osso alveolare, gengiva, legamento parodontale e cemento radicolare;
Le patologie principali sono la gengivite e la parodontite; la prima e' un processo infiammatorio reversibile ad eziologia multifattoriale della gengiva marginale; la seconda e' un processo infiammatorio ad eziopatogenesi multifattoriale in cui si ha la distruzione irreversibile dei tessuti di supporto profondi e cioe' osso alveolare, legamento parodontale e cemento radicolare;
Abbiamo detto che sono patologie ad eziopatogenesi multifattoriale: questo significa che varie sono le cause: in sintesi possiamo affermare che in soggetti geneticamente predisposti l'accumulo di placca e tartaro a causa di una insufficiente igiene orale e\o della presenza di protesi non correttamente realizzate si instaura una infiammazione dei tessuti gengivali superficiali che se non trattata si aggrava coinvolgendo i tessuti parodontali profondi.
I sintomi della parodontite sono pressocche' sfumati e non e' raro fare diagnosi di malattia parodontale in fase avanzata in pazienti che non hanno mai avuto il sospetto di esserne affetti;
La terapia della parodontite si basa fondamentalmente sulla prevenzione,sull'igiene orale domiciliare e professionale; il paziente affetto da parodontite deve seguire un rigido programma di controlli e sedute di igiene la cui frequenza e' stabilito dal medico in base alla gravita' ed entita' della malattia.
In questo disegno osserviamo le gengive in condizioni di salute: non si osservano depositi di placca batterica e tartaro; non si ha sanguinamento gengivale e il sondaggio parodontale e' di circa un millimetro, ossia la sonda parodontale non penetra tra la gengiva ed il dente per piu' di uno due millimetri, ad indicare che la gengiva e' saldamente attaccata al dente;
In soggetti predisposti,l'accumulo di placca batterica e\o tartaro provoca l'infiammazione dei tessuti parodontali superficiali e profondi con distruzione ingravescente degli stessi ; si ha sanguinamento gengivale,la gengiva marginale assume un colore rosso acceso; la sonda parodontale misura tasche intorno ai 4-5 mm;
Se non trattata ossia se non si rimuovono placca e tartaro si ha l'evoluzione in parodontite moderata: aumenta il sanguinamento, si possono osservare recessioni del margine gengivale; il sondaggio parodontale fornisce valori intorno ai 6-7mm; puo' essere presente alitosi;
Notiamo in questo disegno uno stadio di parodontite avanzata: si ha notevole distruzione dei tessuti parodontali profondi,il sondaggio arriva a valori di 9-10 ed oltre mm; puo' essere presente mobilita' dentale di grado variabile; dal fondo delle tasche puo' drenare un essudato purulento;
In queste due immagini osserviamo un paziente con parodontite grave di anni 27; sono evidenti notevoli depositi di taratro sopra e sotto gengivale; un drammatico quadro di infiammazione dei tessuti gengivali, perdita delle papille e recessioni dei margini gengivali; il paziente presenta anche malocclusione che ha aggravato il quadro clinico parodontale; si tratta di un biotipo sottile in cui il riassorbimento osseo e' avvenuto a tutto spessore determinando le recessioni del margine gengivale; si nota la fotografia in basso a distanza di circa 25 giorni dalla terapia igienica e dalla motivazione all'igiene orale; i tessuti persi non potranno essere recuperati ma il paziente ha acquisito una giusta tecnica di igiene orale che gli consentira', se mantenuta nel tempo unitamente a controlli costanti in studio, di bloccare la progressione della malattia.
Vediamo in questa microfotografia come l'accumulo della placca batterica sulle superfici dentali provochi la dilatazione dei vasi sanguigni presenti nella gengiva marginale, espressione del processo infiammatorio in atto
Gengivite grave
In questa diapositiva possiamo osservare l'importanza della placca batterica e del tartaro (placca calcificata) nel determinismo delle patologie del parodonto superficiale; come possiamo osservare il notevole deposito di placca ha causato una ipertrofia papillare che determina una pseudo tasca: infatti si ha un sondaggio ma questo non e' dovuto alla distruzione del parodonto profondo bensi' alla ipertrofia su base infiammatoria della papilla; la foto al centro mostra la regressione della patologia dopo un mese dalla ablazione del tartaro; la foto in basso mostra il quadro a tre mesi dalla igiene ambulatoriale
Visualizzazione delle tasche infraosee
In questo post analizziamo un caso giunto alla mia osservazione di un paziente con lesioni parodontali molto gravi; il paziente chiedeva di poter ricoprire la radice scoperta dell'incisivo centrale,( non realizzabile); alla analisi tridimensionale della TAC cone beam a basso dosaggio di raggi si evidenzia una notevole distruzione ossea causa della retrazione gengivale; la rigenerazione ossea combinata puo' essere possibile ma si tratta di casi estremi dalla prognosi non certa e di cio' va avvisato il paziente; bisogna notare che questo caso di recessione e' differente dai casi di recessione del tessuto gengivale trattati nella sezione chirurgia mucogengivale: e' differente l'eziologia della lesione che nel caso illustrato qui in basso e' di natura infettivo-infiammatoria mentre nelle recessioni mucogengivali e' di natura traumatica ossia legata a spazzolamento troppo energico ad es. con setole dure in presenza di una scarsa quota di gengiva cheratinizzata; di conseguenza la terapia e' diversa: nel primo caso occorre eliminare l'infezione ed eventualmente ricostruire l'architettura del tessuto parodontale, cioe' osso,legamento alveolo dentario e cemento radicolare; nel secondo occorre ricostruire gengiva cheratinizzata (cioe' piu' robusta) mediante lembi liberi o peduncolati ma non vi e' infezione parodontale, anzi le recessioni si verificano in pazienti che spazzolano troppo e troppo energicamente.Parodontite e protesi fissa
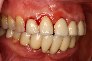
Purtroppo le lesioni del parodonto superficiale e profondo possono essere prodotte anche da restauri protesici non congrui; in questo caso osserviamo come l'applicazione di una protesi fissa abbia provocato un notevole processo infiammatorio dei tessuti parodontali: si notano sanguinamento elevato, invasione dell'ampiezza biologica, violazione degli spazi interdentali con impossibilita' all'utilizzo degli strumenti per l'igiene orale quotidiana come filo interdentale e scovolino; in questi casi il risanamento dei tessuti parodontali non puo' prescindere dal rifacimento di una protesi fissa correttamente eseguita;


